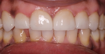
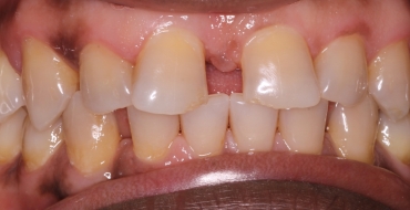
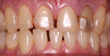
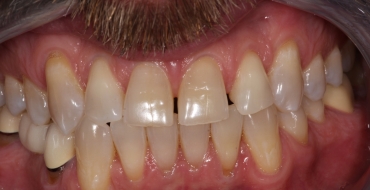
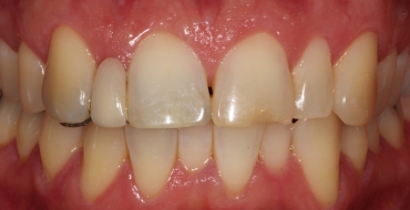
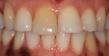
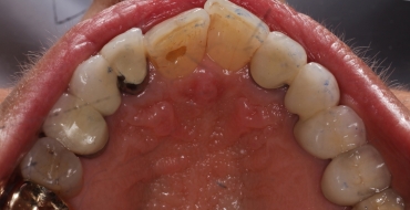
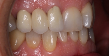
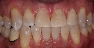
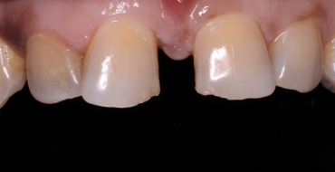
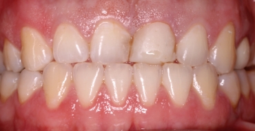
BEFORE
Our patient presented because of his two front teeth. His teeth had always been crooked, and because of this they were hard to keep clean. They would always get decay and need new fillings. Over time the teeth could not be patched any more and needed a more permanent solution.
We recommended that he improve the strength and appearance of his two front teeth with two tooth-colored crowns.
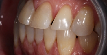
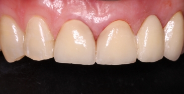
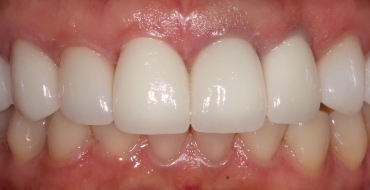
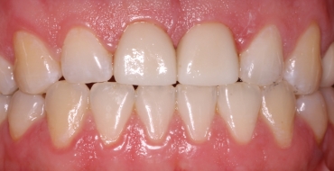
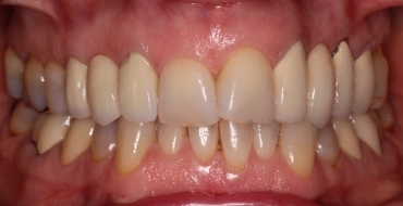
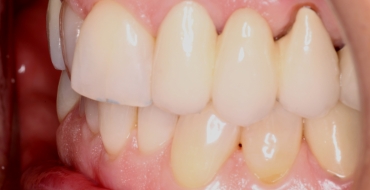
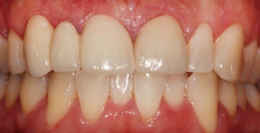
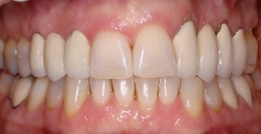
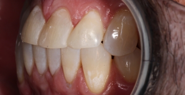
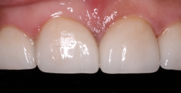
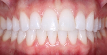
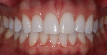
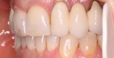
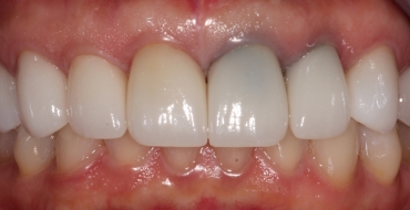
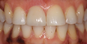
AFTER
After listening to our patient's input, Dr. Castro, along with a local American laboratory with skilled dental artists, created two dental crowns that blended in perfectly with the patient's smile. They're permanent and strong and as long he keeps them clean, should last him many years, if not his whole life.
He was very happy and it was done in just two appointments.
Call us for a New Patient Exam or Consultation to see what our office can do to improve the health and beauty of your smile.
Online appointment making coming soon.